
Forskare undersöker vad som driver postcovid och om nya läkemedel kan lindra sjukdomen.
Bild: Getty images
Så jagar forskarna bättre behandling mot postcovid
Efter covid-19 plågas många av trötthet, hjärndimma, hjärtklappning och andra symtom. Nu testas läkemedel som kan hjälpa patienter med postcovid.
Vissa blev aldrig bra efter sin covid-19-infektion. De lider fortsatt av exempelvis feber, magproblem eller av sjukdomen POTS, som ger yrsel, hjärtklappning och svimningskänslor. Många har även kognitiva problem.
– Man pratar om ”hjärndimma”, men jag gillar inte det ordet då det inte går att definiera, säger Marika Möller.

Bild: Carin Wesström
Hon är neuropsykolog och forskningsledare vid den kognitiva postcovidmottagningen vid Danderyds sjukhus, som tar emot patienter med postcovid med kognitiva symtom. De hon möter kan inte fokusera tankarna, har minnessvårigheter och känner sig tröga.
– Men för de flesta är massiv trötthet det största problemet, säger hon.
Långtidscovid är en folksjukdom
Redan i oktober 2020, drygt sju månader efter att pandemin var ett faktum, införde Världshälsoorganisationen, WHO, diagnosen postcovid, eller långtidscovid som man också säger. I höginkomstländer beräknas 3–6 procent av alla som genomgått covid-19 ha postcovid i dag. Hos hälften, lågt räknat 1,5 procent av dem som haft covid-19, är besvären svåra och sänker livskvaliteten. I Sverige motsvarar det runt 150 000 människor.
– När en dryg procent av befolkningen är drabbad uppfyller postcovid kriteriet för att vara en folksjukdom, säger Judith Bruchfeld, infektionsläkare vid Karolinska universitetssjukhuset och docent vid Karolinska institutet.
Vad är postcovid?
- I oktober 2020 införde WHO diagnosen ”postinfektiöst tillstånd efter covid-19”, definierad som att patienten haft symtom i minst tre månader efter konstaterad infektion med covid-19.
- Postcovid kallas även långtidscovid.
- Till symtomen hör hjärndimma, feber, andfåddhet, störningar i hjärtrytm och blodtryck, muskelsvaghet och mag-tarmproblem.
- Alla åldrar kan drabbas. Vissa blir bättre över tid, andra inte. Man kan insjukna efter en första virusinfektion, men också vid en senare.
- Covidvaccin minskar risken för att drabbas av postcovid.
I Sverige fick en procent av de som legat sjuka hemma postcovid, men hos dem som varit inlagda på sjukhus var andelen sex procent – och hela 32 procent av dem som hade behövt intensivvård. Av dem med postcovid som vårdats på sjukhus för sin covid-19 var fler äldre och män, medan hemmavårdade oftare var yngre och kvinnor.
Även om en lägre andel hemmavårdade fått postcovid utgör de ändå merparten eftersom de flesta sjuka aldrig lades in. 65–70 procent av alla med postcovid är kvinnor. Risken att få postcovid för den som låg sjuk hemma var större för den som var sängliggande mer än en vecka, jämfört med kortare tid.
Postcovid – en kultursjukdom?
Vissa anser att postcovid är vad som på läkarspråk kallas en funktionell diagnos, i dagligt tal en kultursjukdom. Enkelt uttryckt innebär det att människor som av någon anledning mår dåligt använder diagnosen för att få en förklaring till sina symtom.

Bild: Martin Stenmark
Den diskussionen har förts både på Läkartidningens debattsidor och i bredare medier. Sjukvården i Danmark har slutat använda WHO:s diagnoskod för postcovid.
– Det gör inte att patientgruppen försvinner och jag tänker på bilden av de tre aporna som inte vill se, höra eller prata. Jag vill poängtera att det största problemet i dag är en svårt sjuk patientgrupp som inte får den diagnostik och behandling den behöver, säger Judith Bruchfeld och lägger till:
– Även efter tidigare utbrott av andra coronavirus, såsom sars, sågs kvarvarande symtom och tillstånd. Skillnaden nu är att de flesta av oss har haft covid-19, så fler drabbas.
Under pandemin fanns tolv mottagningar för patienter med postcovid. I dag återstår en, mottagningen för postinfektiösa sjukdomar vid Karolinska universitetssjukhuset i Huddinge, där 2 000 patienter tagits emot. Enligt rehabiliteringsläkare Per Julin insjuknar färre nu än 2021, tack vare vaccinationer och ökad immunitet. Men fortsatt kommer remisser, ofta från andra regioner.
– En del remisser är bra, men andra läkare hävdar att postcovid inte finns. Men exempelvis POTS är ju inget hokus pokus, utan går lätt att diagnosticera, säger han.
Vad är POTS?
- POTS står för posturalt ortostatiskt takykardisyndrom och ger yrsel, hjärtklappning och svimningskänslor.
- POTS diagnosticeras genom att patienten reses med en tippbräda från liggande till nästan stående och så mäts hur blodtryck och puls stegras.
- I en svensk studie med 500 yngre kvinnor med postcovid hade 31 procent POTS.
Många och varierande symtom
Ett argument mot diagnosen postcovid är dess många och varierade symtom, enligt en sammanställning uppåt 200 olika. Det rör sig om allt från kognitiva symtom, luktbortfall, dysfunktionell andning, felaktig reglering av hjärtrytm och blodtryck, feber och mag-tarmproblem till svaga och smärtande muskler.
– Men det är inte något mystiskt, utan beror på att de flesta organsystem kan påverkas, säger Judith Bruchfeld.
Att lungorna kan ta stryk beror på att den akuta infektionen slår mot just lungor och luftvägar. Marcus Buggert är docent på institutionen för medicin vid Karolinska institutet och har undersökt biomarkörer vid postcovid. I blodprover från personer med kvarstående lungproblem fann han ett mönster av proteiner som var förhöjda och som gick att koppla till pågående inflammation och celldöd. Gruppen har sedan försökt fånga varifrån proteinerna kommer, men resultaten är ännu opublicerade.

Bild: Ulf Sirborn
– Det jag kan säga är att om man hittar något i blod, tyder det starkt på att det finns avvikelser även i korresponderande vävnad, säger Marcus Buggert.
Vad gäller kognitiva symtom nämner Marika Möller en brittisk studie från 2022, där nära 800 personers hjärnor avbildats med magnetkamera vid två tillfällen med tre års mellanrum. Då detta var tidigt under pandemin, hade hälften av de avbildade haft covid-19 vid den andra avbildningen. Hos dem sågs större kognitiv nedsättning samt minskad hjärnvolym mellan mätningarna, jämfört med dem som inte hade haft covid-19.
– Allas hjärnor krymper över tid, men ”åldrandet” gick snabbare för dem som haft infektionen, säger Marika Möller.
Sämre minne vid postcovid
Vid Danderyds sjukhus har hennes grupp testat arbetsminne, inlärning, långtidsminne och uppmärksamhet hos 134 postcovid-patienter. Till skillnad från den brittiska studien hade även många kontrollpersoner haft covid-19, men utan kvarvarande symtom. Vid uppföljning efter sex till tolv månader jämfördes 50 patienter med 48 kontroller.
– Även om man haft symtom i två eller tre år ser man förbättringar på gruppnivå. Men trots att patienterna blivit bättre, var de sämre än kontrollgruppen på flera test, säger Marika Möller.
Samma testbatteri användes för 38 patienter med minst fyra års universitetsutbildning och som var arbetsföra innan insjuknandet. Då sågs signifikant lägre prestation än förväntat utifrån patienternas utbildningsnivå.
– Trots lång utbildning och tidigare höga positioner är de tydligt nedsatta i sin minnesförmåga, på att hålla saker i minnet eller generera ord. Så någonting har virusinfektionen ställt till med, säger Marika Möller.
Hennes kollegor har med hjälp av funktionell magnetkamera, functional magnetic resonance imaging (fMRI), avbildat hjärnan hos 21 patienter med kvarstående besvär samt en kontrollgrupp. Alla var högst 45 år och utan psykiatriska diagnoser. Under 20 minuter fick de göra ett reaktionstidstest där siffror dök upp med olika tidsintervall. När fyra nollor synts i rad skulle de snabbt trycka på en knapp.
Trötthet ett av symtomen
Alla fick skatta hur trötta de var före och efter testet, och postcovid-gruppen var långsammare och även tröttare efteråt. När forskarna mätte mängden syresatt blod i hjärnan som helhet låg patienternas värde på 95 procent av kontrollpersonernas. Men i de delar av hjärnan som styr kognitiv kontroll och beslutsfattande, vilket krävs för att utföra testet, var skillnaden mer dramatisk – där var patienternas blodflöde i genomsnitt 62 procent av kontrollernas.
– Något gör att deras hjärnor fungerar sämre under dessa förhållanden, men då studien inte är publicerad vill jag inte gå in på vad vi tror, säger Marika Möller och fortsätter:
– Det är typiskt att när det gäller diagnoser där de flesta drabbade är kvinnor finns en fördom om att det är ”psykologiska besvär”. Men dessa patienter har kognitiv nedsättning, det visar både våra tester och MR-fynd.
Eftersom det ännu inte finns någon botande behandling vid kognitiva problem vid postcovid, riktas insatserna mot patientens symtom, vilket är en utmaning.
– Vid andra hjärnskador, som stroke, vet vi hur vi ska träna patienters uppmärksamhetsförmåga och minne, men ännu saknas evidens för sådan behandling vid postcovid, säger Marika Möller och fortsätter:
– Med hjälp av kompensatoriska strategier – som att lägga in pauser mellan arbetspass för att hantera balans mellan aktivitet och vila, eller hitta strategier för ljud- och ljuskänslighet – får patienterna i stället lära sig hantera sin vardag.
Så olika drabbar postcovid
Fysisk träning vid postcovid
Vid Karolinska universitetssjukhuset och Karolinska institutet följer forskare tusen patienter med postcovid under tio år. I en tvärsnittsstudie rapporterade två tredjedelar fortsatt fysisk och kognitiv påverkan. Malin Nygren-Bonnier är sjukgymnast och docent och beskriver att många patienter tidigare levt ett aktivt liv, arbetat heltid och tränat. I dag är deras självrapporterade livskvalitet låg, under 50 på en 100-gradig skala.

Bild: Annika Clemens
– Det motsvarar andra kroniska sjukdomar, säger hon.
När 159 patienter fick bära en accelerometer, sågs att 29 procent rörde sig lite och långsamt. De ligger i riskzonen för följdsjukdomar, som hjärt-kärlsjukdom, och ska därför studeras närmare. De med POTS rör sig lite och forskarna har därför utvärderat träning som rehabilitering.
– Vi utformade ett individuellt anpassat program, där de fick börja träna liggande, säger hon.
Det går att göra och ingen patient blev sämre. Nu utvärderas en studie med 30 patienter och 30 kontroller. Post-exertional malaise, PEM, ansträngningsutlöst försämring, är vanligt vid svår postcovid.
– Som fysioterapeut vill man aktivera, men de med PEM har mina kollegor snarare behövt bromsa, för att patienter ska undvika bakslag, säger Malin Nygren-Bonnier och fortsätter:
– Rehabilitering är inte bara träning, utan även att lära sig aktivitetsdosera så man får ihop alla delar i livet.
Försvagade muskler
Andrea Trofonos på institutionen för laboratoriemedicin vid Karolinska institutet har undersökt patienter med postcovid och PEM.
– Vi ville på ett kontrollerat och säkert sätt mäta hur de tålde träning, säger hon.

Bild: Christina Sundqvist
31 patienter och 31 kontroller fick göra spirometri och hjärtultraljud, plus muskelmätning med elektromyografi, EMG. Med minst två veckors mellanrum utförde de sedan tre träningspass, varefter de följdes i 48 timmar. Patienterna klarade passen lika bra som kontrollerna, och förvärrade inte skattade symtom.
– Smärtan förvärrades inte mer hos patienter än hos kontroller, men patienterna skattade sin smärta högre från början, säger hon.
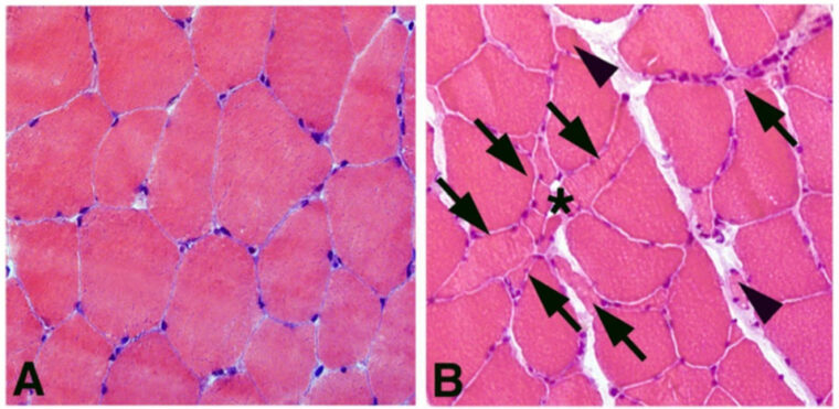
Av dem med postcovid hade 62 procent försvagade muskler, mätt med EMG.
– Den andelen är för hög för att bara bero på låg aktivitet, så vi gick vidare, säger Andrea Trofonos.
Små vävnadsprover, biopsier, från musklerna undersöktes noga, bland annat med mikroskop. Vissa skillnader i form och struktur kopplar forskarna till låg fysisk aktivitet. Men exempelvis att patienternas muskelfibrer var tunnare och formade som skärvor, kan vara en effekt av virusinfektionen. I mitokondrierna, som förser cellerna med energi, var aktiviteten sänkt med 20 procent hos vissa patienter, men inte signifikant på gruppnivå.
– I musklerna syns något som skiljer sig mellan patienter och kontroller, men vad det beror på vet vi inte ännu, säger Andrea Trofonos.
Fyra huvudspår
Dagens insatser riktas alltså mot patientens symtom. Vid POTS kan betablockare, som reglerar hjärtrytmen, hjälpa. På samma sätt kan luftrörsvidgande läkemedel lindra vid andfåddhet och astma, medan fysisk rehabilitering kan fungera för dem som har ett dysfunktionellt andningsmönster.
Men hoppet står till något slags läkemedelsbehandling som angriper orsaken till sjukdomen. Det kompliceras av att man i dag inte vet vad som orsakar postcovid, även om fyra huvudspår har utkristalliserat sig:
- Att coronavirus finns kvar i kroppen och fortsätter att reta immunsystemet.
- Att virusinfektionen har lett till autoimmunitet, så att det exempelvis bildas antikroppar mot kroppens egna vävnader, eller att coronaviruset aktiverat något annat virus som legat vilande i kroppen.
- Att det har bildats ett speciellt slags mikroproppar i de allra minsta blodkärlen.
- Störda nervkopplingar mellan mage–tarm och hjärnan, på engelska the gut–brain axis.
Hoppas på läkemedel mot postcovid
För att komma åt kvarvarande virus testades det antivirala covid-19-läkemedlet Paxlovid (nirmatrelvir/ritonavir). Läkemedlet slår mot replikerande virus och inaktiverar ett virusprotein som normalt fungerar som en sax, som finputsar virusproteiner. Utan proteinsaxen bildas inga nya virus.
Vid en akut infektion ges det i fem dagar, men mot postcovid provades en 15-dagars kur. I två studier från Stanford university och Yale university sågs ingen signifikant skillnad på gruppnivå mellan läkemedlet och placebo. I den ännu opublicerade svenska studien vid Karolinska institutet ska det dock ha skett en signifikant minskning av replikerande i virus i behandlingsgruppen jämfört med bland dem som fått placebo.
En sydafrikansk forskargrupp har kopplat mikroproppar i de minsta kärlen till postcovid. De ska även ha behandlat 800 patienter med tre blodförtunnande läkemedel.

Bild: Privat
– Men eftersom behandlingen inte jämförs med annan behandling eller placebo är det svårt att bedöma värdet. Det är också en potentiellt riskabel behandling, så våra kardiologer avvaktar, säger Judith Bruchfeld.
Fler läkemedel testas mot postcovid
Per Julin vill med hjälp av en cocktail av utvalda tarmbakterier försöka återställa en gynnsam tarmflora hos patienter med postcovid. Bakgrunden är att probiotika i tidiga försök på möss med en variant av multipel skleros lindrade djurens autoimmuna symtom.
Forskarna har precis ansökt om etiktillstånd för att under tre månader behandla 100 patienter, hälften med probiotika och hälften med placebo. Förhoppningen är att kunna påverka både magbesvär och andra störningar, som POTS, som regleras via det autonoma nervsystemet.
– Fokus ligger på om vi kan påverka kognitiva symtom som hjärndimma, enligt hypotesen om en gut–brain axis, säger Per Julin.
Ett annat lovande spår är en pågående studie, där 160 patienter får ett av två godkända läkemedel, eller en kombination. En fjärde grupp får enbart placebo.
Postcovid-studiens upplägg
- I en dubbelblind, randomiserad och placebokontrollerad studie behandlas 160 patienter med naltrexon och mestinon (pyridostigmin) – med ena, med båda, eller enbart med placebo.
- Naltrexon verkar mot smärta och inflammation och ges i en tiondel av dosen jämfört med vid missbruk. Mestinon, som annars används mot muskelsjukdomen myastenia gravis, stabiliserar puls och blodtryck, samt hämmar låggradig inflammation.
Flera faktorer spelar in
Naltrexon ges annars mot alkoholmissbruk, men i studien får patienterna det i lågdos, medan läkemedlet mestinon normalt ges mot muskelsvaghet. Enligt Jonas Bergquist, professor i neurokemi vid Uppsala universitet, har båda läkemedlen beskrivits i fallstudier.
– Men för vägledning frågade vi 4 000 patienter om deras erfarenheter av behandlingar de provat, säger han.
Harvard university utför studien och därför rekryteras bara deltagare i USA. Hittills har 40 fått full behandling och 40 ska inleda behandling.

Bild: Mikael Wallerstedt
Jonas Bergquist tror att en kombination av olika fenomen ligger bakom postcovid.
– Vårt huvudspår här är att mildra pågående inflammation med inslag av autoimmunitet, minska hjärndimma och problem att reglera blodtryck, säger han.
Förhoppningen är att just läkemedelskombinationen ska ge effekt, men det vet forskarna först nästa år, när alla patienter är färdigbehandlade.
– Då kan vi bryta koden och se vem som har fått vilken behandling, säger Jonas Bergquist.
Lyfter vikten av vaccin mot covid-19
I väntan på fungerande behandling finns postcovid-patienterna kvar. Enligt Marika Möller handlar det om en stor och helt ny patientgrupp.
– De är unga, med många år kvar till pension och de söker vård. Samhället skulle vinna mycket på att kunna hjälpa dem, säger hon.
Malin Nygren-Bonnier lyfter det internationella arbetet som pågår för att kartlägga hälso- och sjukvårdskonsumtion, samt vilka satsningar som gör mest nytta.
– I en arbetsgrupp sammansatt av WHO tar vi också fram vilken forskning gällande rehabilitering som ska prioriteras, exempelvis om andningsproblem, POTS och kognitiva besvär, säger hon.
Och eftersom covid-19 fortsatt sprids lyfter Judith Bruchfeld vikten av att genom fortsatt vaccinering mot den sjukdomen förhindra nya fall av postcovid.
– Varje dos vaccin minskar risken att drabbas. Vi anser att Folkhälsomyndigheten ska börja rekommendera årlig vaccination även till dem som är yngre än 75 år, säger hon.
Primärvården får utökat stöd för postcovid
- Primärvården utreder patienter med misstänkt postcovid, men specialiserad postcovidvård finns i dag bara vid Karolinska universitetssjukhuset i Huddinge. De med kognitiva symtom tas emot vid Danderyds sjukhus. En postcovidmottagning ska öppna i Malmö.
- Statens beredning för medicinsk och social utvärdering, SBU, ska sammanställa en kunskapsöversikt om postcovid under andra kvartalet 2026.
- Socialstyrelsens kunskapsunderlag från 2024 fick kritik för att inte ge konkreta råd om utredning, diagnostik och behandling. På regeringens uppdrag ska ett uppdaterat dokument tas fram som ska sprida den kunskap som SBU nu tar fram.